

早上查完房,病人找到医生,疑惑地问道:“医生,早上查房听主任说考虑我可能有气管支气管结核?之前只听说过肺结核,那我这也是一种结核病吗?请问什么是气管支气管结核呢?”
作为成都市公共卫生临床医疗中心的结核介入亚专科,结核三病区的医生早已习惯病人类似的提问。是的,这是一种常常被忽视的特殊类型结核,接下来就来听听成都市公卫中心的结核介入专家带来的硬核科普吧~
一、什么是气管支气管结核?
气管支气管结核(tracheobronchial tuberculosis,TBTB)是肺结核的一种特殊类型,指发生在气管、支气管黏膜、黏膜下层、平滑肌、软骨及外膜的结核病,10%-40%的肺结核患者同时合并气管支气管结核,年轻女性发病率较高。
气管支气管结核的早期症状缺乏特异性,临床上易被漏诊或误诊,若病情迁延进展,可致气道内病灶播散、溃疡形成、坏死物和增生肉芽组织阻塞气道、瘢痕挛缩,进而导致气管支气管狭窄,出现远端反复感染、肺不张或肺破坏等不可逆的结构性肺损害,严重损害肺功能,气道狭窄严重者可致呼吸衰竭、窒息甚至死亡。
二、气管支气管结核的防治措施?
减少气管支气管结核危害的主要措施是早发现、早治疗,避免进入中晚期。建议所有无检查禁忌的肺结核患者行气管镜检查,一旦诊断为气管支气管结核,应尽快进行相应治疗。
三、气管支气管结核分类
根据中华医学会结核病学分会2012年发布的《气管支气管结核诊断和治疗指南(试行)》,按照气管镜下观察到的气道腔内主要大体改变及组织病理学特征,将气管支气管结核分为I型(炎症浸润型)、II型(溃疡坏死型)、III型(肉芽增殖型)、IV型(瘢痕狭窄型)、V型(管壁软化型)和VI型(淋巴结瘘型),具体见下图。

TBTB的镜下表现可合并一种或多种类型,特别是对于I、II、III、IV这四种类型,临床中往往较多见两种类型合并的情况。
四、气管支气管结核的治疗
气管支气管结核容易造成气管、支气管黏膜、黏膜下层,或者肌层和软骨的破坏,若不及时治疗,可导致气道狭窄、气管软化,进而出现继发性肺不张、阻塞性肺炎和肺毁损等不良后果。研究发现,单纯的全身性药物对气管支气管结核的治疗效果有限,应尽早实施气管镜介入干预治疗以保护支气管和肺脏,缩短病程、降低气道狭窄率、提高治愈率、减少后遗症,同时也能尽量避免病情进展至需外科手术切除肺脏或气道狭窄段的程度,有助于减轻患者的病痛和经济负担。
目前支气管镜下介入治疗的常见方法有:
1.气道内局部应用抗结核药物;
2.冷冻;
3.球囊扩张;
4.氩气刀;
5.高频电刀
6.微波
7.激光
8.支架置入。
医生需根据术前评价以及气管支气管结核的临床类型选择合理的介入治疗方法,使现代介入治疗与国际顶尖水平接轨,实现精准化、个体化。

此外,虽然气管支气管结核是良性病,大多经规范治疗能达到良好效果,但在实际诊疗中,大部分患者没有及时行气管镜检查,未能早期发现气管病变,未严格遵守随访时间按时就诊,常常造成难以挽回的肺功能的损害。所以希望广大患者朋友加深对气管支气管结核的认识,“知己知彼,百战不殆”,做到按时随访、及时诊治,尽早战胜气管支气管结核这个常被忽视的“顽固分子”。
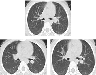
五、典型病例——奋战在抗痨前线,让祖国花蕾重绽笑颜
市公卫中心结核三病区曾经收治过一名可爱的藏族小姑娘,入院时有着严重的呼吸困难等症,胸部CT提示小姑娘的一侧主支气管重度狭窄(见下图)。

后来在全身抗结核治疗的基础上,小姑娘接受了经气管镜检查和介入治疗,镜下可见左主支气管肉芽增生阻塞管腔,立即予以冷冻联合局部用抗结核药物治疗(见下图)。

经过规范治疗,小姑娘的症状明显缓解,复查CT(见下图)和气管镜提示左主支气管狭窄明显好转。出院前,小姑娘又重绽笑颜轻松而肆意,那是青春明媚和勇敢的力量,深深地感染了周围所有人,让医护人员的心温暖而满足。


抗痨之路漫长而艰巨,路上充满着不可预测的艰难险阻,气管支气管结核也是其中一只难打的“拦路虎”,但市公卫中心结核三病区的医护人员愿做行路上的守护者,身为公卫人,必为公民之健康奋斗终身。持手之镜、亦是守护之盾,亲爱的患者朋友,你们不需要一腔孤勇,因为我们会伴您一路前行。我们由衷地希望每一位气管支气管结核患者都能早发现、早诊断、早治疗,医患同心、并肩抗敌,最终打赢这场艰难的战役!
结核三病区科室简介

成都市公共卫生临床医疗中心结核三病区是四川省重点专科、成都市高水平重点专科病区之一。
一、专业能力
目前结核三病区开放床位60余张,科室亚专业为结核病的鉴别诊断及气管镜介入诊疗,具有先进的专科设备和精湛的医疗及护理技术。病区主任何畏系四川省卫健系统先进个人、成都市学术技术带头人、中华医学会结核病学分会呼吸内镜介入专业委员会委员、中国防痨协会临床专业分会委员与呼吸内镜介入专业委员会委员、四川省医学会结核病学专委会委员、成都市防痨协会理事,擅长常见气管支气管结核的诊断及介入治疗,耐药结核病、疑难危重结核病及呼吸科常见病、多发病的诊治,参与并主研多项国家、省市级课题,发表核心期刊数篇。
二、科室团队
何畏主任带领的病区团队拥有一支经四川大学华西医院、首都医科大学等全国知名医院培养、进修的专业技术人员,现有医生14名、护士27名,高级职称2名、中级职称20名,研究生3名。科室参与多项国家“十一五”“十二五”“十三五”重大专项课题研究,并承担多项省市级课题;连续数年成功开展四川省继续教育项目“气管支气管介入诊治进展”培训班,影响力辐射四川省乃至西南地区。
三、科室特色
主要研究方向为气管支气管结核相关诊断、鉴别诊断及治疗,科室特色为结核病的鉴别诊断及气管镜介入诊疗,对气管支气管结核的管理与治疗充分体现规范化、个体化,达省内乃至国内先进水平。


四、开展技术
已开展的气管镜诊疗技术手段包括:气管镜常规检查技术、气管内给药治疗、冻融、冻取、冷冻活检、氩气刀、球囊扩张、支架植入、经气管镜瘘口封堵、经支气管针吸活检术等介入治疗技术,可充分满足结核病患者诊疗技术需求。